繁体中文 | 返回首页
您的当前位案例展示 >

种植修复案例(前牙)

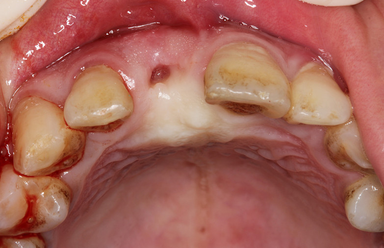
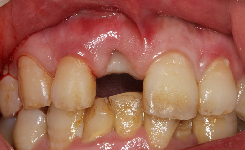
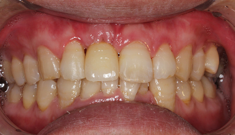
導語:种植修复前,门牙缺失。 种植修复后





种植修复前,门牙缺失。







种植修复后


 

上一篇:美容牙再修复案例 下一篇:没有了

深圳东昊齿科
电话:0755 88257985   13682433800(24小时客服) E-mail:dentalhealth@163.com  客服QQ:2411052310 点击这里咨询 地址:深圳市福田区益田路与滨海大道交界东南皇都广场C座21层07-08
     (会展中心南对面、福田金海马家居城北侧、皇岗小学西侧)
微信个人号:dentalhealth   微信公众号:dental_health  WhatsApp:13682433800 COPYRIGHT 2012 Dental Health ALL RIGHT RESERVERD.   版权所有:东昊齿科,侵权必究
官方微信: 微信扫描二維码加关注      深圳东昊齿科二維码
深圳婦科醫院網站:深圳婦產科醫院